2014年,她在双目失明2个月后,终于接受了右侧侧脑室三角区巨大肿瘤切除手术,此时肿瘤大小达8.3cmx7.2cm,为良性脑膜瘤。
2024年,她听力、语言、行动正常,具备生活自理能力,从鬼门关闯了一圈,如今已生存超过10年,但是因失明多年显得焦虑......
2024年8月25日,为搜集昆明三博脑科医院建院十周年纪念素材,我跟随医院神经外科医疗团队走访了医院开业后收治的第一位患者,也是医院开展的第一例手术患者。巧合的是,这位患者家就位于我老家县城外的一个村庄,这也让我分外关心这次探访得到的结果。临行前,心中很是忐忑,不知道这个来自农村的家庭是否会因病致贫,也不知道经历了巨大开颅手术的患者是否还能够正常生活。
前往的路程中路过一段“不合时宜”的陈旧公路,曲折而泥泞,让我联想到这就像很多经历疑难病症的患者家庭们走过的求医之路,本就很困难,但更可怕的是未知,不知道这条路还有多长,是否能尽快转入平顺的大道,又是否能带领我们走到目的地,又或者这就是一条只有尽头的断头路。

好在这样的路只是一小段,很快我们就沿着平直的柏油路到达了虽陈旧但秩序井然的村庄,在这不大的地方,我们的来访引起了村民们的注意。在明白我们的来意后,村民们热情地为我们带路,同时也把自己藏在家里的检查片子拿了出来,希望咱们医生能给做一些解析,给到一些指导。
这已经是在交通相对发达,离县城仅10余公里的乡村了,看得出村民们,特别是交通出行不便的年长村民们,依然存在比较迫切的医疗帮助需求,他们会把去年的、前年甚至更久的检查资料好好收藏起来,以便遇到医生时能够及时寻求帮助。

很顺利,从乡村公路步行3分钟就到达了目的地——这位“1号患者”家的二层小楼。为了迎接我们的到来,患者和老伴放弃了今日的周末赶集,早早在院子里准备了桌子和茶水。其实,当患者老伴在接到我们第一个回访电话的时候表现得很谨慎,并通过在昆明的亲戚反复确定我们的身份,这些年来,由于老伴的疾病,不乏有很多打着各种帮助旗号的人找过来,最终目的其实并不单纯。
在确定了我们就是为他老伴进行手术的医院后,他才放下心来,毕竟老伴也确实需要医疗帮助了,除了身体健康上的复查、康复建议外,他也想老伴通过听听专业医生的意见,卸下生病后的心理负担,缓解下多年失明后焦虑的情绪。

患者患病前是一位性格坚强、甚至有些强势的农村妇女,她患病前还有一些乡村医生的经验,经常帮助同村的村民们抓取草药和购买西药,诊治一些常见疾病。同时她还和老伴还经营着一些小生意,生活虽谈不上特别富裕但也丰衣足食,现在居住的这栋砖房,就是在患病之前的那一年盖起来的,在当时看来,享福的日子终于到来了。
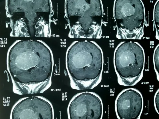
但是,天有不测风云,大概从2013年的下半年开始,患者开始出现了后颈部、头部的阵痛以及头晕。患者在老伴的带领下来到当地医院简单问诊后,以颈椎病简单处理后即回家休息。直到手术前四个月,患者不但头颈部疼痛和头晕越来越加深,还出现了喷射性呕吐的症状,这才引起了家人的重视。当家人急忙带着患者来到昆明的医院检查后,被诊断为颅内右侧侧脑室三角区占位性病变,考虑脑膜瘤可能。
听到肿瘤,患者一家感觉天都塌了,并且因为当时肿瘤虽然考虑良性但已经长得很大,本地医院不太具备手术条件。在进行相应保守治疗后,家属只能带着患者返回家中休养,但是患者的头痛、呕吐症状随着病情的发展愈发严重,双眼视力也逐渐减退直至失明。

影像资料:当时肿瘤已长得很大
这时候整个家庭都是无助的,看着刚要好起来的生活随着女主人的生病情况转瞬急转直下。2014年1月6日,是昆明三博脑科医院开业的第一天,刚好患者的一位亲属就在医院附近工作,看到医院有北京手术专家,抱着试一试的心态,患者被家属从老家再一次紧急送到医院,成为了昆明三博脑科医院正式的“1号患者”。
入院后,在完善了检查明确诊断后,来自北京的专家团队通过研讨后确定患者无手术禁忌症,并且患者颅内压增高已经出现颈强直,再有拖延可能有生命危险,手术指征明确,于是制定了“右侧颞顶枕入路侧脑室三角区肿瘤切除术”手术方案,并于1月8日就为患者施行了手术,这也成为昆明三博脑科医院在1月6日正式营业后开展的第一台手术。
这台手术由首都医科大学三博脑科医院外派昆明专家暨昆明三博脑科医院时任副院长、现任院长张宏伟教授主刀,时任昆明三博脑科医院院长王保国教授等带领团队配合完成。由于当时医院刚开始营业,手术、麻醉、护理、输血等各团队在实战中磨合,而本台手术难度又达到四级,整台手术足足耗时约10个小时才完成。

手术资料:时任副院长张宏伟教授主刀

手术资料:时任院长王保国教授为患者麻醉
好在最终手术顺利切除了肿瘤,后续又在经过一个多月的术后并发症处理和康复后,患者最终安全出院。“可遗憾的是患者手术前已经完全失明,虽然肿瘤切除但没有保住患者的视力”,这是张宏伟教授在提起这首例手术时的遗憾。参与探访的神经外科专家王浩然主任也对我们说,如果当时患者能在出现症状后尽早进行手术,或许能够挽回一个更加健康和完整的人生,毕竟脑膜瘤大部分是良性,复发的概率不高,而患者当时也仅仅四十多岁。
可是没有如果,提到眼睛看不见,患者情绪开始有些激动,“会不会是手术没做好”、“以前我还给人看病,可现在什么都看不见了”......旁边的邻居连忙安慰,“你能保住命就已经是好命了”,一旁的老伴更是直白,“当时我都准备让你最后吃好点喝好点了”,“现在不是又给了你十多年,甚至还有更长时间”,“虽然看不见,但你不疯不傻,身体也能动,可以赶街,还可以喂牛”.......

看得出,老两口感情是挺不错的,从邻居的口中,我们也了解到患者生病前确实算是家里的主心骨,但患病后是老伴承担起了照顾患者和整个家庭的责任,由于疾病,家里的条件确实也不是太好,但老伴也从没有一句怨言。

因病致贫、因病返贫,确实是当前仍然存在的一大社会问题,这不容回避,不仅是在农村,就算是家庭条件还算不错的城市家庭,很多时候也经不起家庭成员的一场大病。近些年,国家也在大力推进社会医疗保障的覆盖范围,推动区域医疗中心的建设,推进优质医疗资源下沉,控制医药耗材采购成本,根本目的都是为了进一步降低患者的就医成本。

村民们其实很需要医疗帮助
作为医疗机构,或者说作为医务工作者,正是这一事业的前线执行者,不同于资本主义国家,我们的医疗机构归根到底是需要为全体国民的健康服务的,这也包括民营医疗机构,而非单纯追逐利润最大化。
所幸我们走在正确的道路上,就如同这位昆明三博脑科医院的“1号患者”,她的疾病确实给她的家庭带来了沉重的经济压力。在当时的情况下,她如果想要挽回生命,如果不是成为昆明三博的第一位患者,如果不是正好有张宏伟教授等专家来到昆明,恐怕她的家庭会需要付出更大的经济代价,当然,生命无价,我们不该用经济来权衡。
但疾病确实给这个家庭带来了更大的经济负担,这恐怕也是患者在双目失明后日渐焦虑的重要原因,患者的老伴也坦诚,家里确实存在经济困难,甚至也很久没有带患者到医院进行复诊检查了,但其实颅内肿瘤康复患者是需要持续的定期复查的,所幸从患者的身体机能和精神状况来看,病情复发或恶化的可能性不高。但是在现场为患者查体的王浩然主任还是一再表示,要尽早带患者到医院做复查,不只是复查病变,也有利于医生给出更准确的康复建议,从身体到心态上,可以帮助患者获得更佳的生活状态。对于患者经济上的困难,随访的张勇副院长也表示会向医院申请一定程度的检查和后续康复治疗费用减免。
当我们准备离开时,患者家属反复重复着要带我们出去吃饭,因为患者双目失明,老伴又要照顾患者又要招待我们确实家里不如外面便利,他们的淳朴让他们没有去考虑经济的问题。我们拒绝了他们盛情的邀请,但我们挺不是滋味的,如果这位患者双目没有失明,那么这个10年前就盖起二层小楼的家庭应该会很富足,那时如果在他们家里打扰一顿饭,我们也一定会很乐意,这样能够能给到他们更多的健康建议,也能为左邻右舍更多需要帮助的人提供力所能及的帮助。

我们离开时,患者的情绪依然有些激动,这里面或许有对于疾病不好的记忆,或许也有对失明的沮丧。但患者家属却显得比较高兴,因为他听说医院有一些新的治疗方法可能会对患者的进一步康复有帮助,他也留下了我们的电话,打算尽快带患者到医院复查。
回程路上,心情很复杂,一方面,患者的身体状态超出了我们的预想,无论是行动还是精神均属正常,肿瘤也没有复发的迹象。另一方面,因患者双目失明,给这个家庭带来了巨大的经济和生活负担,也让患者的心理日渐焦虑,这又不是我们希望看到的从肿瘤手里死里逃生的康复患者应有的生活状态。
这时候,我又想到医生们反复提到的那些如果,如果早点确诊,如果早点手术,如果患者经济再宽裕些第一时间寻求最好的治疗条件,如果每一个城市、每一个县城都具备诊治疑难病症的条件......可是,没有那么多如果。
只能宽慰自己,活着已经很好......

(撰稿 彭子隽)